|
Was
ist ein Schlaganfall ? |
|
|
Ein Schlaganfall ist eine plötzliche
Funktionsstörung des Gehirns.
Durch verschiedene Ursachen bekommen die Nervenzellen im
Gehirn zu wenig Sauerstoff und Nährstoffe und sterben
deshalb ab. Die betroffenen Hirnregionen fallen aus.
Andere Begriffe für einen Schlaganfall sind Apoplexie ,
Hirn Insult oder Hirninfarkt.
Das Gehirn erstickt ganz einfach
|
|
Aufbau unseres Gehirnes |
Zwei Arterienpaare (A. carotis interna & A. vertebralis)
versorgen das Gehirn mit Sauerstoff und Nährstoffen.Der
Hirnkreislauf kann in ein vorderes und hinteres
Versorgungsgebiet unterteilt werden, die über einen Kreislauf
der Hirnbasisarterien, dem Circulus Willisii
(A. cerebri anterior, A. communicans anterior, A. cerebri
media, A. communicans posterior,
A. cerebri posterior A. basilaris, A. carotis interior),
kommunizieren und multiple Kollateralverbindungen untereinander
aufweisen
|
 |
|
Circulus Willisii |
Der vordere Kreislauf wird durch die beiden Halsschlagadern, A
carotides interna und die innerhalb des Schädels gelegenen
Gefäße, Arteria cerebri media und anterior und deren Äste
gebildet.
Der hintere Kreislauf wird durch die Rückenmarkarterien, die
Arterie vertebrales, deren letztes
Segment intrakraniell liegt und die aus den Aa. vertebrales
intrakraniell entstehende Arteria basilaris sowie die davon
abgehenden Arteriae posteriores und von diesen Gefäßen abgehende
Äste gebildet.
Stenosen der hirnversorgenden Arterien kommen besonders häufig
am Abgang der Arteria Carotis interna vor. |
 |
|
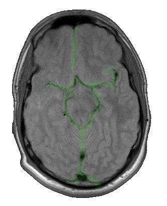
meine MRT Aufnahme : Circulus
Willisii |
 |
 |
|
Man unterscheidet verschiedene
Schlaganfalltypen: |
|
-
Cerebrale Hämorrhagie
(Hirnblutung) = auch blutiger Schlaganfall genannt
-
Cerebrale Ischämie (TIA) =
kurzeitige Durchblutungstörung im Gehirn
-
Infarkt = Absterben von Zellen
nach Ischämie
-
Thrombosen (sich ablösende
Blutgerinsel)
-
Embolie ( Verschluss eines
Blutgefäßes durch über die Blutbahn verschleppte
Elemente )
-
Arteriosklerose (Verkalkung der
Blutgefäße)
-
Stenosen (Einengungen der
Blutgefäße)
-
Dissektionen ( Einblutung in die
Gefäßwand einer Ader )
|
|
Was ist eine MRT Untersuchung ?
(Kernspintomographie) |
|
Was
ist eine Kernspintomographie?
Die
Kernspintomographie, oft auch als
Magnet-Resonanz-Tomographie (MRT) bezeichnet,
ist eine diagnostische Technik zur Darstellung
der inneren Organe und Gewebe. Das Prinzip der
MRT beruht auf der Verwendung von Magnetfeldern
und Radiowellen. Der Patient wird somit keiner
Form von Röntgen- oder anderer gefährlicher
Strahlung ausgesetzt.
Wie
funktioniert die MRT-Technik ?
Der
Patient liegt in einem großen zylinderförmigen
Magnet. In diesem wird er dann einem
pulsierenden Magnetfeld ausgesetzt, welches
10.000- bis 30.000-mal stärker ist als das
Magnetfeld der Erde. Die Kerne von
Wasserstoffatomen im Körper zeigen normalerweise
in verschiedene Richtungen, aber durch die
starke Einwirkung vom Magnetfeld des MRT werden
diese Atomkerne in die gleiche Richtung
ausgerichtet.
Mit Hilfe
von Radiowellen können sie aus ihrer
aufgezwungenen Position ausgelenkt werden.
Schaltet man die Radiowellen wieder aus, so
springen die Atome wieder in die Richtung
zurück, die ihnen von dem starken Magnetfeld
vorgegeben wird. Dabei senden die Atome Signale
aus, die durch hoch empfindliche Antennen
gemessen werden können.
Der
Scanner fängt diese schwachen Signale auf,
verstärkt sie und übermittelt sie einem
Computer, der sie zu Bildern weiterverarbeitet.
Welche Information ermittelt das MRT?
Das MRT
liefert eine sehr genaue und differenzierte
Darstellung sämtlicher Körpergewebe, z.B.
Weichteile, Gelenke und Gehirn.
Was ist der Unterschied zwischen MRT
(Kernspintomographie)
und CT (Computertomographie)?
Der
größte Unterschied liegt in der Genauigkeit der
Darstellung von verschiedenen Geweben. Während
das MRT seine Stärke in der differenzierten
Darstellung von Weichteilgewebe mit einer sehr
hohen Auflösung hat, eignet sich das CT, wegen
der Röntgenstrahlentechnik, besonders für die
Darstellung von festem Gewebe, besonders von
Knochengewebe.
|
Wie wird
eine MRT-Untersuchung durchgeführt?
- Eine
MRT-Untersuchung wird in der Regel ambulant
durchgeführt. Während der Untersuchung muss
man absolut ruhig liegen, damit die
Aufnahmen nicht gestört werden.
- Bei
der Untersuchung von Kindern ist es deshalb
nötig, diese durch Medikamente in Schlaf zu
versetzen.
- Da
man während der Untersuchung einem starken
Magnetfeld ausgesetzt ist, muss man alle
Schmuck- und Metallgegenstände ablegen.
Genauso wichtig ist es, vor der Untersuchung
zu erwähnen, ob man Metallgegenstände wie z.
B. ein künstliches Hüftgelenk, Schrauben in
den Knochen, chirurgische Clips oder
elektrische Geräte wie Hörapparate oder
einen Herzschrittmacher im Körper hat.
- Die
Untersuchung ist völlig schmerzfrei. Während
der Untersuchung werden vom Gerät sehr laute
Klopfgeräusche erzeugt.
|
 |
|
MRT Scanner
Geräusche: |
|
|
|
|
|
|
| |
|
|
|
|
|
|
|
|
Ist
eine MRT-Untersuchung
gefährlich? |
-
Die allgemeine
Meinung ist,
dass die
MRT-Untersuchung
keine Gefahren
birgt.
Schädliche
Nebenwirkungen
durch die
Kernspin-Tomographie
konnten bisher
nicht
nachgewiesen
werden.
-
Da die Röhre
relativ eng und
laut ist, kann
bei
empfindlichen
Personen das
Gefühl von
Platzangst
auftreten.
Beruhigende
Medikamente
verhindern
diesen Zustand.
-
Metallene oder
magnetische
Gegenstände
können die
Untersuchung
stören oder
Schäden am
Patienten
herbeiführen.
Darum dürfen
Patienten mit
Herzschrittmachern
oder
Knochenplatten
nicht in den
Umkreis des MRT
kommen.
|
|
Was
ist eine Stroke Unit ? |
|
|
|
Stroke (engl.)
=
Schlaganfall
Unit
(engl.)
=
Behandlungseinheit |
|
|
|
Die
Stroke Unit ist für die
Akutphase der Erkrankung
zuständig. Hier werden
Patienten mit einem frischen
Schlaganfall (ca. 24 Std.
alt) aufgenommen, untersucht
und behandelt. Während der
so genannten
Akutphase
des Schlaganfalls ist der
Gesundheitszustand oft noch
instabil und der
Krankheitsverlauf durch
intensive Überwachung und
Behandlung günstig zu
beeinflussen. Ziel ist eine
rasche Verbesserung des
Allgemeinbefindens und der
Schlaganfallsymptomatik,
sowie das Verhindern einer
Krankheitsverschlechterung. |
|
|
|
Medizinische
Versorgung durch ein
speziell geschultes
Team, bestehend aus
Ärzten,
Pflegepersonal,
Sprach- und
Physiotherapeuten. |
|
|
|
Aufnahme und
Festlegung der
wichtigsten (oft
notfallmäßigen)
Untersuchungen (z.
B.
Computertomographie,
EKG, EEG,
Blutuntersuchungen,
Ultraschall). |
|
|
|
Überwachung der
vitalen Funktionen
in der kritischen
Krankheitsphase
(Blutdruck,
Herzaktion, Atmung
usw.) durch
spezielle Geräte
(Monitore). |
|
|
|
Akutbehandlung des
frischen
Schlaganfalls (z.B.
systemische und
lokale Thrombolyse). |
|
|
|
Einstellung auf
Medikamente, die
einem erneuten
Schlaganfall
vorbeugen können (Sekundärprohylaxe). |
|
|
|
Für alle notwendigen
Untersuchungs- und
Behandlungsverfahren
besteht auf Stroke
Unit Einheiten eine
Rund-um-die-Uhr-Bereitschaft:
z.B. CT,
Perfusions-CT, MRT,
sowie
interventionelle
Angiographie und
Neurochirurgie. |
|
|
|
|