|
Meine CT
Aufnahmen: |
 |
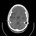
R(C)T = Röntgenstrahl Computer Tomographie
(ab 1972)
Das Gehirn wird mit Röntgenstrahlen
beschickt, die durch die unterschiedliche Dichte des Gewebes auf der
anderen Seite leicht gedämpft austreten. Dabei absorbiert dichteres
Gewebe die Strahlen stärker. Detektoren sammeln die austretenden
Strahlen, aus deren Intensität per Computer ein Bild dieser Scheibe
berechnet wird.
Problem: Röntgenstrahlung ist sehr energiereiche Strahlung und
kann Schäden verursachen.
|
|
Röntgenaufnahme meines Schädelprofils |
 |
|
|
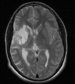
Meine MRT
Aufnahmen:
T2-gewichtetes MRT |
 |
Organisches Gewebe enthält viel Wasser und Fett. Diese Stoffe
bestehen im Mensch aus ca. 63% Protonen. Setzt man Protonen einem
magnetischen Feld aus, schwingen sie entsprechend der Feldstärke.
Diese absorbierte Energie geben sie wieder ab, was man messen kann.
Die Signalstärke wird durch jedes Proton leicht variiert.
Läßt
man ein zusätzliches Magnetfeld einwirken, das in Stärke und Lage
variiert wird, läßt sich durch die unterschiedliche Resonanz der
Felder pro Ort eine elektromagnetische Strahlung messen. Daraus kann
man ein 3D-Bild berechnen.
|
|
Schädel
seitlich
T2-gewichtetes
MRT |
 |
|
|
MR-Angiographie (MRA) meiner Halsgefäße |
 |
Zwei Arterienpaare übernehmen die Blutzufuhr zum Gehirn (Arteria
carotis interna) und (Arteria vertebralis).
Beide vereinigen sich in der Hirnbasis zu einem
ringförmigen Arterienkreis, dem Circulus Willisii. Vom
Willisi-Kreis gehen paarweise die drei großen Hirnarterien ab,
die vordere, mittlere und hintere Hirnarterie. |
|
MR-Angiographie (MRA) meiner
Hirnbasisarterien
(Circulus Willisi) |
 |
gut sichtbar distale Stenose Arteria
carotis rechts |
| |
 |
|
| |
 |
|
|
Meine MRT
Aufnahmen: |
 |
|
| |
 |
|
|
MR-Angiographie (MRA) meiner Halsgefäße Stand: 03.03.2006 |
 |
|
|
|
|