|
DONNERSTAG, DEN 23.
September 2004 |
| |
|
Meine Story: |
| |
|
Wie jeden
Donnerstag hatten wir heute Sportunterricht in der Rundturnhalle und
der begann wie immer mit einem Aufwärmtraining.
Kurz nachdem ich meine erste Runde gelaufen bin ging ein Zucken
durch meinen Körper und mir wurde ganz plötzlich schwarz vor Augen.
Mein linkes Bein wollte mir einfach nicht mehr gehorchen, knickte
ein und ich stürzte zu Boden. Alles um mich herum begann sich zu
drehen. Ich versuche mich aufzurichten doch ich kann meinen linken
Arm und mein linkes Bein nicht mehr bewegen.
"Helft mir doch bitte" aber niemand hat mich verstanden. Meine Zunge
ist so schwer, ich bringe kein Wort heraus. Hilmi ein
Mitschüler kommt angerannt und sagt sofort dem Lehrer Bescheid.
Trotz weiterer Versuche mich aufzurichten, es gelingt mir einfach
nicht.
Es scheint als wenn ich mich im Innern eines langen Tunnels befinde
durch den ich hindurch schaue. Alle Geräusche um mich herum sind
irgendwie so dumpf, so geräuschlos.
Da sind drei Männer in Uniform und auch meine Mama ist dabei.
"Mama muss ich jetzt sterben? "
Aber auch sie versteht mich nicht. Was ist nur los mit mir? Ich kann
meine linke Körperseite nicht mehr spüren und sprechen kann ich wohl
auch nicht.
Stille
Dunkelheit .......
|
Was geschah (aus
der Sicht der Eltern)
|
|
10:20 Tobias ist im
Sportunterricht zusammengebrochen und war sofort halbseitig gelähmt.
Der Notarzt der Minuten später eintraf erkannte den
Ernst der Lage und forderte einen Hubschrauber an.
Jedoch war das Wetter so schlecht das keine Flugerlaubnis erteilt werden
konnte.
Deshalb brachte ihn der Rettungswagen zur Erstversorgung und um eine
Hirnblutung auszuschließen in das Orts Krankenhaus nach Attendorn.
Meine Frau die mittlerweile vor Ort war fuhr mit dem Krankenwagen mit.
Dort angekommen wurde umgehend ein CT = (Computertomographie) gemacht.
Eine vermutete Hirnblutung konnte dadurch ausgeschlossen werden.
Nach diversen Untersuchungen waren sich die Ärzte des Krankenhauses
nicht einig und sicher was sie als nächstes tun sollten. Das kostete
sehr viel Zeit, wie
wir heute leider wissen sehr wertvolle Zeit.
Immer wieder wurde in umliegende Kinderkliniken angerufen???!!
Erst sollte Tobias nach Siegen ins Kinderkrankenhaus.
Dann doch lieber in die Kinderklinik nach Lüdenscheid.
Meine Frau hat diese totale Unentschlossenheit mitbekommen ? ? ?
Zum Glück entschied man sich dann doch noch richtigerweise für das
Klinikum Lüdenscheid.
Erst gegen 12:45 wurde Tobias dann ins Lüdenscheider Klinikum gefahren.
Wegen des starken Regens und der schlechten Sicht konnte selbst der NAW
nicht so schnell fahren.
Für meine Frau kam die halbe Stunde Fahrtzeit zum Klinikum wie eine Ewigkeit vor.
Dort angekommen wurde Tobias auf die Neurologische Ambulanz gebracht.
Fast zeitgleich bin auch ich dort eingetroffen.
Kurz nachdem die behandelnde Notärztin Tobias untersucht hatte kam
sie zu uns und teilte uns mit das unser Sohn einen " Schlaganfall
" erlitten
hatte...........
Um die verstopfte Halsschlagader frei zu bekommen klärte Sie uns über eine Lyse
auf.
( Zur Lyse eingesetzte Medikamente bestehen aus
Enzymen, die diesen Thrombus bzw. Embolus abbauen können oder aus
Stoffen, die ein körpereigenes Abbauenzym (Plasminogen) aktivieren und
somit die Blutbahn wieder frei halten. Es kann intravenös als
systemische Lyse und in speziellen Fällen über einen Katheter
intraarteriell als lokale Lyse verabreicht werden.
Je früher lysiert
wird, desto größer die Erfolgschancen.)
Nachdem ich meine Unterschrift unter eine Einwilligung gesetzt hatte
konnte die Lyse eingeleitet werden. Anschließend unterhielt sich die
Notärztin lautstark mit den Fahrern des Rettungswagens. Es ging unter anderem darum
weshalb man nicht sofort eine Neurologie aufgesucht hatte. Es ist
doch offensichtlich das der junge Patient einen Schlaganfall erlitten
habe ???!! (Achselzucken bei
den Fahrern)
Warten........
Da schon sehr viel
Zeit vom Eintritt des Schlaganfalls bis jetzt vergangen war brachte die
Lyse leider nicht mehr den gewünschten Erfolg. Wir bangten an seinem
Bett und als er für einen kurzen Moment wach wurde flüsterte er mit
verwaschener Stimme "Mama was ist los mit mir, ich will doch noch nicht sterben."
Etwa gegen 15:20 sagte man uns das Tobias um ca. 20:00 Uhr in die
Uniklinik Essen Abt. Neurochirurgie verlegt werden müsste.
Da Tobias noch eine jüngere Schwester hat um die wir uns auch noch kümmern müssen
fuhren wir erst einmal nach Hause.
|
|
DONNERSTAG, DEN 23.
September 2004 21:00Uhr |
| |
|
Intensivstation
|
|
|
Etwa gegen 21:00 kamen
wir in der Essener Uniklinik an.
Tobias ist inzwischen in die Neurochirurgie aufgenommen worden. Dort
klärte man uns über mögliche Komplikationen auf.
Begründung :
"Durch einen vollendeten Infarkt kommt es
zu einer Raum fordernden Ausdehnung des Gehirnes. Wird dieser Druck zu
hoch muss ein Teil der Schädeldecke entfernt werden um verbleibendes gesundes
Hirngewebe zu schützen."
Nach schriftlicher Einwilligung einer möglichen OP und schier
endlosen Untersuchungen und da Tobias unter starken Beruhigungsmitteln
stand fuhren wir dann gegen 1:40 zurück nach Hause.
Morgens gegen 9:00 waren wir dann wieder in der Essener Uniklinik.
Tobias
ist inzwischen von der Neurochirurgie auf die
Stroke Unit verlegt worden.
Zum Glück musste sein Schädel nicht geöffnet werden da der
Hirndruck stabil geblieben ist.
......
Endlich durften wir zu ihm.
Sein Anblick war erst mal ein Schock für uns denn man hat ihn von Kopf bis Fuß mit Sensoren verkabelt. Sonden
eingeführt und unter anderem einen
Blasenkatheter angelegt.
Zum jetzigen Zeitpunkt war er sehr schwach und kaum ansprechbar.
Seine
Schlaf- und Wachphasen wechselten sehr schnell.
Im Tagesverlauf wurden wieder sehr viele Untersuchungen gemacht z.B..:
Doppler, Kernspinntomographie, Blutuntersuchungen etz.
Hier in Essen wurde sehr sorgfältig und gründlich untersucht.
Die Ärzte hatten zunächst keine Erklärung für seinen erlittenen Schlaganfall.
Nach Ihren Aussagen sei Tobias Organisch vollkommen gesund.
Aber es lag eine Einblutung in der Carotis Interna
(Carotis Dissektion) vor, welche nicht zu erklären war.
Am Abend erkundigte sich die Mutter eines Freundes von Tobias bei
uns nach seinem aktuellen Zustand. Ich erklärte ihr was die Ärzte bisher
herausgefunden hatten.
Frau S. hat dann später, nachdem sie mit ihren Kindern gesprochen hatte,
noch mal angerufen.
Sie hat sinngemäß gesagt :
" Ich muss euch
etwas sagen. Meine Kinder haben mir erzählt das es in der Schule einen
Vorfall gegeben hat. Mitschüler haben Tobias am 21.09.04 in der
Schulpause mit
Basketball-Bällen und Brennbällen traktiert (beschossen) und dabei fast
jedes mal den Hals / Kopfbereich getroffen, dabei ist sein Kopf immer
wieder zur Seite geschlagen. Sie
sagte "Ich weiß nicht, ob das etwas damit zu tun hat, es könnte aber
sein.
"Was ist geschehen ?
Am nächsten Tag teilten wir unsere neuen Erkenntnisse den
behandelnden Ärzten mit. Diese sagten uns das eine traumatische
Einwirkung durchaus die
Carotis Dissektion herbeigeführt haben kann.
Nach umfangreichen Untersuchungen
und
Macumar
Einstellung in der Uni-Klinik Essen wurde Tobias dann am
30.09.2004
wieder ins Lüdenscheider Klinikum zurückverlegt.
|
|
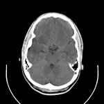
CT meines Schädels;
sichtbarer Schlaganfall in der rechten Hirnhälfte. |
Tabelle Vitamin K-Gehalt in
Lebensmitteln
als PDF download |
|
|
|
|
|
|
|
|
|
|
|
30.September - 13.
Oktober 2004 |
|
|
|
|
| |
|
Neurologische Station Lüdenscheid |
|
|
Tobias Wachphasen
wurden von Tag zu Tag etwas länger.
Unter Anweisung und Hilfe einer Logopädin die täglich mehrmals
vorbeischaute erlernte er mühsam wieder Essen und Trinken . Dabei hat er
sich des öfteren verschluckt und es kam zu einer leichten
Lungenentzündung
Durch den Blasen-Katheter kam es immer wieder mal zu Blutungen innerhalb
der Blase mit anschließendem Fieber. Deshalb musste er noch bis zum
13.10.04 im Klinikum Lüdenscheid verbleiben.
Abschließend wurde ihm ein
Blasen-Fistelkatheter
angelegt und er konnte umgehend in die Odeborn-Rehaklinik verlegt
werden.
|
|
|
|
|
|
13 Oktober 2004 - 19.
Januar 2005 |
|
|
|
|
|
Odeborn Reha-Klinik
|
|
Eine nette Schwester stellte Tobias und
uns die Klinik vor. Er war in einem sehr modern eingerichteten
Einbettzimmer untergebracht. Bekam Ergotherapie für seinem linken
Arm, Krankengymnastik für sein Bein, und Logopädie für seine
Stimme. Außerdem stand noch Sprech-Unterricht in der Gruppe und
Gehirnleistungstraining mit dem Computer, um sein geistliches
Vermögen wieder aufzubauen auf dem Tagesplan. Um seinen Rumpf und
die Körperhaltung zu stabilisieren wurde noch eine Hippotherapie
(therapeutisch gestütztes Reiten auf einem Pferd) angeordnet. So oft
es uns möglich war haben wir ihn besucht. Von Tag zu Tag; von Woche
zu Woche machte Tobias kleine und größere Fortschritte
Genau
4 Wochen vor Therapie Ende lag seitens der Rehaeinrichtung ein
Verlängerungsantrag bei meiner Krankenkasse vor.
Zeitgleich am 16.12.04 wurde bei Tobias
MSRA
diagnostiziert.!!??!!"
Als wir nachmittags Tobias besuchen wollten trafen wir ihn nicht in
seinem Zimmer an.
Wir fragten eine Stationsschwester wo wir denn unseren Sohn finden
könnten.
Sie sagte uns nur das sie dazu nichts sagen könne, das aber der
Stationsarzt mit uns sprechen möchte. Mit gemischten Gefühlen und
schier endlosen 30 Minuten später kam der Arzt zu uns und teilte uns
mit das Tobias auf die Isolierstation verlegt werden musste weil man
bei ihm u.a. in der Blase MSRA festgestellt habe.
Als wir dann endlich und unter strengen Hygienevorschriften (mit
Kittel, Mundschutz und Handschuhen) ihn besuchen durften schaute er
uns mit traurigen Augen an und musste weinen als er uns so steril
verpackt sah. Er fragte uns:
"Warum nur ? Habe ich denn nicht schon genug gelitten.?"
----------------------------------------
Weihnachten stand vor der Tür und wir durften Tobias für zwei Tage
zu uns nach Hause holen.
Durch das ungewohnte Umfeld hat er sich wohl ein wenig verausgabt
und es kam am 1. Weihnachtstag abends zur Rotfärbung seines am
Oberschenkel befestigten Urinbeutels. Eine liebe Nachbarin die bei
den Caritas arbeitet schaute auf unser Bitten vorbei und riet uns
eine Einlieferung ins nächste Fachkrankenhaus.
Deshalb fuhren wir mit ihm um ca. 23:00 Uhr ins Klinikum Lüdenscheid
(Urologie) und gaben bei der Aufnahme MSRA mit an .
Jedoch blieben "hier die MSRA Tests negativ .!!??!!
Wir pochten auf eine Entfernung des Blasenfistelkatheters.
Dem stand nichts im Weg da er ja sowieso schon seit einpaar Wochen
allein zum Klo gehen konnte.
Nach der Entfernung des Katheter wurde die Blasenfunktion
eingestellt.
Am 03.01.05 erfolgte dann die Überführung zurück zur Reha Klinik.
Als meine Frau und ich auch dort eintrafen mussten wir feststellen
das Tobias wieder auf die Isolierstation verlegt worden war.
Der behandelnde Arzt der Isolierstation sagte er könne sich nicht
auf die Diagnosen seitens des Klinikums Lüdenscheid verlassen.?????!!!
Außerdem war er sehr ärgerlich darüber das wir veranlasst haben den
Blasenkatheter zu entfernen.
(Warum nur ??)
Wir machten dem Stationsarzt klar, das wenn Tobias nicht
unverzüglich auf seine frühere Station zurückverlegt wird, wir die
Reha vorzeitig beenden werden.
Am folgendem Tag war Tobias dann auch wieder auf der Normalen
Station in seinem alten Zimmer.
Die restlichen Tage in der Reha verliefen zum Glück sehr schnell.
Überglücklich
holten wir Tobias am 19.01.05 endlich zu uns nach Hause.
|
|
|
|
|
|
23. Februar 2006 |
|
|
|
|
| Und
nun... |
| Meine Eltern
haben mir nach und nach alles erzählt. |
Ich bekomme seit der Reha 2x in der
Woche Ergotherapie und war auch schon 2 x 3 Wochen in der
Tagesreha in unserem Ortskrankenhaus.
Auch Zuhause übe ich immer wieder das neu erlernte. Meine Eltern und
meine Schwester unterstützen mich dabei. Da ich noch Macumar nehmen
muss bekomme ich des öfteren Nasenbluten. Das nervt mich ungemein

Von meiner Schule bekomme ich jeden Tag Hausunterricht (Mathe,
Englisch und Deutsch)
Im ersten Jahr nach meinem Schlaganfall waren meine
Gesamt-Fortschritte recht groß, aber danach gab es nur noch kleinere
Erfolgserlebnisse auch schon mal Stillstände.
Jedes noch so kleine Ziel ist auch noch soooo weit weg und fast
nicht zu erreichen.
Meiner Familie und meinem besten Freund Jahn bin ich
unendlich dankbar , dass sie mir in meiner schweren Zeit immer
wieder Unterstützung geben und mich ermutigen.
|
|
03. März 2006 |
|
|
|
|
Am 03.03. wurde in der Essener
Uni-Klinik bei mir wieder Kernspinn und Doppler Untersuchungen
gemacht.
Das Untersuchungsergebnis ergab das ich von nun an kein Macumar mehr
nehmen muss.
Heute habe ich meine letzte Macumar Tablette eingenommen.
Ab morgen nehme täglich 1x
ASS100. Hoffendlich vertrage ich die genauso gut
wie das Macumar.
Na ja auf jeden Fall werden ab jetzt erst mal die lästigen Kontroll
Blutabnahmen nicht mehr nötig sein. |
|
|
|
24. März 2006 |
|
|
Heute hatte ich ein ganz großes Tief

Nach so langer Zeit kann ich immer noch nicht die Finger meiner
linken Hand bewegen.
Nur eine Faust kann ich schon machen. Aber von alleine bekomme ich
die nicht mehr auf.
Und immer wieder diese Weitenangst. Wenn ich mit jemandem vors Haus
gehe ist sie besonders schlimm.
Meine Eltern überlegen mit mir zusammen ob ich in einer Jugendreha
wohl bessere Chancen
habe meine Ängste zu bewältigen.
Mein Vater sagt es muss aber erst noch ein Kostenträger ? gefunden
werden.
Die Zeit wird es wohl schon regeln.
Manchmal durchzieht mich ein Gedanke, dass ich nie wieder vernünftig
laufen werde, aber ich hoffe es ist nur ein unbegründeter Gedanke,
genauso wie meine Angst vorm Fallen. ........... |
|
|
Ein Brief der Rentenversicherung meines
Vaters ist heute mit der Post gekommen.
Wie sich rausstellte handelte es sich um eine Absage der
Kostenübernahme für meine angestrebte Jugendreha.
Was jetzt als nächstes
geschehen soll wissen wir nicht. Schade das man fast immer nur
auf sich alleine gestellt ist. Das macht mich traurig
 |
|
|
|
10. April 2006 |
|
|
|
Ab heute bekomme ich nur noch 1x pro
Woche 50 min. Ergotherapie. Unser Hausarzt sagt das er nicht mehr
verordnen darf. Was das nun schon wieder bedeuten soll weiß ich
nicht. |
|
|
|
25. Mai 2006 |
Meine Weitenangst:
Irgend etwas hemmt mich, irgend etwas sitzt mir im Nacken. Meine
Angst umfallen zu können.
Das Phänomen tritt meistens draußen auf. Meine Eltern üben das
manchmal mit mir. Aber meine Angst ist bis heute geblieben. Neulich
waren wir bei einem Psychiater und dort habe ich meine Angst
beschrieben. Der sagte er könne mir helfen mit meiner Angst vorm
Fallen zu leben.
Bei einem weiteren Termin war ich mit Herr Sonntag allein und wir
haben über meine Ängste geredet. Herr Sonntag meint ich müsse lernen
mich meiner Angst zu stellen .
Weglaufen ist nicht ;-)
Es
genügt wenn sich eine Begleitperson mehr als einen Meter von mir
entfernt. Zuerst verkrampft sich mein großer Zeh und dann fängt auch
noch mein ganzes Bein an zu zittern. Ich glaub ich muss gleich
umfallen oder verliere die Kontrolle über mich. Ich suche draußen
andauernd etwas um mich festzuhalten. Hilfe! Was ist nur los mit
mir. Wieso sitzt mir die Angst immer im Nacken. Mit diesen Gedanken
habe ich täglich zu kämpfen...
|
|
22 Juni 2006 |
|
|
|
Irgendwann im Juni habe ich eine
Einladung vom Arbeitsamt bekommen um meine schulischen
Leistungen zu beurteilen. Nach etwa vier Stunden sehr umfangreichen
psychologischen Tests ergab die Auswertung das ich Schulisch seit
meinem Schlaganfall kaum etwas verpasst hatte. Ich hoffe das ich
bald meinen Schulabschluss nachmachen kann.
Seit Juni/Juli kann ich schon alleine über unseren Rasen laufen, da
meine Angst weniger geworden ist. Die Gespräche mit Herr. Sonntag
und das tägliche üben mit meinen Eltern haben mir dabei geholfen.
|
|
28. August 2006 |
|
Jetzt im August,
kann ich schon alleine die schräge Einfahrt vor unserem Haus runter
bis zur Hauptstraße laufen. Ist ein krasser Fortschritt für mich.
;-)
Es gibt aber auch Tage da läuft es gar nicht so gut.
Als ich heute beim Laufen gestolpert aber nicht gefallen bin war
meine Angst plötzlich wieder voll da. Selbst durch unser großes
Wohnzimmer konnte ich nicht ohne starke Angst laufen.
Das hat sich aber zum Glück wieder nach einem Tag gelegt.
Mir fällt auf das
meine Angst immer weniger wird, je mehr ich übe und je öfter
ich sie einfach nur zulasse. Vor kurzen hatte ich wieder mal einen
schlechten Tag erwischt, na ja aber jetzt geht es wieder bergauf.
 
 
|
|
|
|
|
Heute möchte ich mal was zu meinem
Tagesablauf berichten.
Gegen 7:30 stehe ich morgens auf.
Nach der Morgentoilette frühstücke ich
erst mal in aller Ruhe.
Dann ist Treppensteigen angesagt. vier bis fünfmal geht es die
steile Wendeltreppe runter und wieder rauf. Runter ist es echt
schwierig weil sich der Handlauf auf der anderen Seite befindet.
 
Anschließend mache ich Handübungen mit meiner gelähmten Hand. (z.B.
klemme ich einen Trinkbecher in meine linke Hand und führe den
Becher mit Hilfe meiner rechten Hand zum Mund, usw.) ps: dazu
gehören auch Trinkübungen.
 
mit
der der linken Hand versuche ich sehr oft meine Computermaus zu bedienen.
Leider funktioniert das fast gar nicht. (aber dran bleiben).
Tägliche Mundübungen sind sehr
wichtig für mich, weil wenn ich mal wieder richtig entspannt bin
dann hängt manchmal der linke Mundwinkel herab und ich sabbere ein
wenig ;-)
Mundübung wie geht das ?
natürlich mit Spiegel und Anleitung
Mittlerweile mache ich täglich etwa
drei bis vier Spaziergänge in unserem Ort. (bis ca. 50min)
Meine Angst begleitet mich jedes Mal aber ich muss sie nur zulassen
dann klappt es schon :-)
Zwischendurch gehe ich ins Internet
um auf dem laufenden zu bleiben. (Hobby und so .!)
Ach ja und Nachts trage ich immer
eine Handbandage. (diese soll eventuelle Spastiken verhindern )
Bis dann 
|
|
|
|
15. November.2006 |
|
Mit Katharina
einer ganz lieben Nachbarin habe ich heute einen langen Spaziergang
unternommen. So ca. 5 Km weit sind wir gegangen.
Danach war ich aber erst mal ganz schön geschafft.
Am Montag war ich wieder beim Herrn Sonntag , noch wegen
meiner Angst vorm Fallen, aber diese ist ja zum Glück kleiner
geworden .Und jeden Tag immer wieder mein Laufen trainieren. Denn
"Übung macht den Meister" ;-) (das sagt mir fast jeden Tag
mein Vater, und er hat recht." freu

Heute am 2. November mussten wir wieder zum Gericht, wegen der
Verhandlung über die Balltraktierung. Der Angeklagter der mir das
angetan hat, wurde wegen gefährlicher Körperverletzung
verurteilt. Er muss jetzt irgendwann für ein Wochenende in
Jugendarrest.
Na ja , aber das macht mich nun mal auch nicht wieder gesund.

Mein Vater hat mir
einpaar neue Armübungen gezeigt die ich jetzt mehrmals täglich übe.
Ich kann schon prima meinen linken Arm heben, beim Trinken mit etwas
Hilfe vom rechten Arm.
Mein nächstes Ziel
ist es meine Höhenangst zu überwinden. Und zwar möchte ich in
unserem Ort eine hohe Fußgängerbrücke überqueren. Bis zur Hälfte
komme ich schon. Da sich dabei aber meine Beinmuskeln verkrampfen
schaffe ich soeben noch den Weg zurück. Na ja,, vielleicht bei einem
nächsten Versuch. Entweder man gibt auf, dann hat man allerdings
schon verloren und wenn man niemals aufgibt kann man nur gewinnen
und ich werde gewinnen. 
|
|
15. Januar 2007 |
|
Meine Eltern haben mit mir heute ein Berufsbildungswerk für Körperbehinderte besucht.
Diese Einrichtung macht einen sehr guten Eindruck auf uns. Mein
Vater hat nun einen entsprechenden Antrag an das Arbeitsamt
gestellt. Jetzt müssen wir nur noch abwarten bis ich eine 3 monatige
Berufsfindung absolvieren kann. |
|
22. Januar 2007 |
Der heutige Montag war wieder einmal
sehr anstrengend. Viele Übungen die ich mir für heute vorgenommen
hatte habe ich geschafft. Spät abends bekam ich leichte
Bauchschmerzen im rechten Unterbauch. Als ich am Dienstag morgen
immer noch Schmerzen hatte bin ich mit meiner Mutter zum Hausarzt
gefahren. Nach gründlichem Checkup wurden diverse Blut und
Urinuntersuchungen gemacht. Diese waren aber soweit alle Ok. Und da
ich kein Fieber hatte gab's erst mal eine kleine Entwarnung. Die
folgenden drei Tage verspürte ich immer wieder diesen stechenden
Schmerz in meiner Leiste. Ein erneuter Besuch beim Hausarzt war
nötig . Nach kurzer Untersuchung stand für ihn fest ich muss sofort
ins Krankenhaus. Dort angekommen blieb mir keine Zeit mich auch nur
halbwegs auf diese neue Situation einzustellen. Diagnose : Leukos
drastisch erhöht zusätzlich hohes Fieber. Nach ca. einer halben
Stunde lag ich dann auch schon auf dem OP-Tisch.
-----------Dunkelheit---------------
Als ich wieder zu mir kam war meine Mama bei mir und hielt meine
Hand. Meine rechter Unterbauch schmerzt so doll, ich kann mich kaum
bewegen. Etwas später kam eine Ärztin zu uns. Sie sagte das ich
einen Blinddarmdurchbruch hatte.
Sechs Tage (bis zum 31.01.) musste ich noch im Krankenhaus
verbleiben. Da ich Nachblutungen bekam musste ich nochmals vom
01.02. - 03.02. im Krankenhaus verbleiben.
Bis heute 13. Feb. ist meine Wunde
immer noch nicht vollständig verheilt. Alle zwei Tage muss der
Druckverband erneuert werden. Ach ja und schonen muss ich mich
auch noch.
Leider

Na ja, nach etwa zweieinhalb Wochen war aber auch das überstanden.

|
|
21. März 2007 |
Am 21.03. begann endlich meine
Arbeitserprobung im Berufsbildungswerk.
Das war eine ganz neue Erfahrung für mich. So ganz allein ohne meine
Familie in einer fremden Umgebung. Hier war ich zum größten Teil auf
mich allein gestellt. Im BBW Gebäude waren alle Gänge und Hallen
sooo überdimensional groß. Und da war sie plötzlich wieder da, meine
Angst vorm Fallen. Ich hatte echt die Probleme mich in den Gebäuden
zurechtzufinden. Bis zum 24.05.dauerte die Arbeitserprobung. In
dieser Zeit habe ich jede Menge Einblicke in die
verschiedensten Berufe erhalten. Da aber keiner der von mir
erprobten Berufszweige für mich als geeignet gilt, ergab das
klärende Abschlussgespräch, das ich zuerst noch 2 Jahre Schule
absolvieren muss um einen Schulabschluss zu bekommen. Danach wäre es
dann möglich mich in einem nicht handwerklichen Beruf auszubilden.
Dies alles könnte innerhalb der Berufsbildungsstätte stattfinden. Das sind ja gute Aussichten für mich.
Aber um das alles realisieren zu können muss jetzt noch ein
Kostenträger gefunden werden.
......................... |
|
August 2007 |
Es ist Anfang August und mein Vater
besuchte mit mir einen kleinen Flughafen in unserer Nähe. Ziel war
es meine Angst vorm Fallen und der Höhe zu überwinden. Mein Vater
hat kurz mit einem Piloten gesprochen und ich durfte schon mal
Probesitzen. Es war gar nicht so einfach in das Flugzeug
einzusteigen. Und innen war alles so beengend. Mein Vater stieg
vorne ein und fragte mich ob ich bereit sei einen kleinen Rundflug
zu machen. Zögernd nickte ich und der Pilot startete den Motor. Wir
rollten zur Startbahn. Als das Flugzeug beschleunigte und stark
vibrierte, war ich mir gar nicht mehr so sicher ob ich denn auch
wirklich mal fliegen möchte. Ich hatte ein mulmiges Gefühl im Bauch.
Dann hob das Flugzeug ab...
Hoch oben in der Luft wurde ich aber prompt belohnt.
Die Aussicht von hier war so unbeschreiblich schön und was das Beste
ist ich hatte hier überhaupt keine Angst mehr?
Nach der Landung war ich mir sicher das, das nicht mein letzter
Rundflug gewesen ist. :-) |
|
September 2007 |
Eine willkommene Abwechselung ist für
mich der Tag in der Woche an dem ich Ergo und Physiotherapie
bekomme. Frau Winter heißt meine Therapeutin. Sie ist immer sehr
freundlich und geduldig mit mir. Manchmal sind die Übungen die wir
machen aber auch sehr anstrengend für mich. Den Rest der Woche
versuche ich Zuhause dann immer wieder mal die neu gezeigten
Bewegungsabläufe zu üben. Und natürlich stehen täglich mehrere
kleinere Spaziergänge auf meinen Tagesplan............
|
|
Oktober 2007 |
|
In der Zwischenzeit hat sich mein
Vater über eine neue Therapieform, der "Taubschen
Therapie" informiert. Diese basiert auf neu zu
erlernende Bewegungsabläufe mit gelähmten Gliedmaßen. Einpaar Bücher
über diese Methode hat er sich bereits angeschafft. Vielleicht
werden wir uns später mal gemeinsam an dieser Methode versuchen. Er
meint es ist besser etwas Neues
auszutesten als gar nichts tun und sich einfach nur mit seinem
Schicksal abzufinden. Das
kenne ich doch irgendwo her ;-)
Da mein linker Arm ständig einem gelernten
Nichtgebrauch ausgesetzt ist, ist diese Therapie vielleicht genau
das Richtige für mich. Na ja mal schauen. :-o
Am 07.10. habe ich einen sehr großen Spaziergang gemacht. Über
8 Km weit bin ich gegangen. Bin das erste Mal alleine zu unserem
Nachbarort Attendorn gegangen. Hat auch alles super geklappt, jedoch
war ich hinterher ganz schön geschafft..
|
|
03. Februar 2008 |
|
Heute Vormittag
habe ich nur einen kleinen Spaziergang unternommen und da es
stellenweise sehr glatt war, habe ich beschlossen doch besser nach
Hause zu gehen. Ich war bereits auf dem Rückweg da bin ich doch
tatsächlich ausgerutscht. Wie ein nasser Sack bin ich auf meine
linke Seite gefallen und konnte mich nicht mal irgendwie abstützen.
Mein linker Arm und die Hand schmerzten sehr stark und bevor ich
wieder aufstehen konnte musste ich mich erstmal wieder sammeln. Dass
ich plötzlich ausrutschen könnte, damit hatte ich nicht gerechnet.
Irgendwie habe ich es aber dann geschafft nach Hause zu kommen. Mein
Handgelenk war sehr stark geschwollen und schmerzte, deshalb
beschlossen meine Eltern mit mir zum Unfallarzt zu fahren. Zum
Glück war aber nichts gebrochen. Ich bekam Salbe und einen
Stützverband der nach einpaar Tagen noch mal gewechselt werden
musste. Ab jetzt werde ich bei meinen nächsten Spaziergängen noch
aufmerksamer sein als bisher.

|
|
14. Februar 2008 |
|
17. August 2009
|
Heute ist mein erster Schultag ? ?!
Jo richtig gehört. Von heute an habe ich nun die Möglichkeit einen
richtigen Schulabschluss nachzuholen. :-) :-)
Die Woche über lebe und wohne ich in einem Berufsbildungswerk für
Körperbehinderte.
Vormittags habe ich ganz normal Schulunterricht. Nachmittags erst
mal Hausaufgaben machen, zwischendurch Physiotherapie und danach
Freizeit und Leben in der Wohngruppe.
Eine ganz neue Lebenserfahrung für mich und gar nicht so einfach. --
Die folgenden 3 Jahre habe ich meinen Schulabschluss nachgeholt
und anschließend eine Berufseignungsabkärung gemacht. Im
Sommer 2012 verlasse ich das Berufsbildungswerk.
Da ich ab jetzt keinerlei öffenlichen Leistung beziehe bin ich für das folgende halbe Jahr nicht Krankenversichert !
? |
|
|
| 01. November 2012 |
Vom 01.11.2012 - 15.03.2015 mache ich
eine Eignungsabklärung in den Werthmann Werkstätten
für Behinderte Menschen
Seit
16.03.2015
habe ich dort einen festen Arbeitsvertrag unterschrieben :-). |
|
|
13. Oktober 2015 |
Im August 2015 war ich in
einer Reha Einrichtung mit Armlabor
Als Begleitperson war meine Mama dabei
.
Mehr als 5 Monate war diese Reha geplant wobei es
hauptsächlich darum ging meine linke Hand im Armlabor zu trainieren.
Nach meiner Anreise hatte ich für den Rest der Woche fast keine Therapien…
Außer warme Heupackung
für 10min in den Nacken legen, 50
Schritte am Stück gehen, Wechselbad für
meinen Arm und Ball in der Gruppe herumreichen,
gab es nichts.
Das hier ausschließlich nur Patienten über 65+ waren konnte
ich mit der Anwesenheit meiner Mama kompensieren
Innerhalb der 1.
Woche fragten wir mehrmals nach wann ich
denn nun endlich ins Armlabor komme
Immer kam als Antwort: „ das müsste erst noch eingeplant
werden.“
Ich versteh die Welt nicht mehr , gerade wegen des Armlabores bin ich doch hier her gekommen.
Nach einer Woche Aufenthalt kam mein Vater zu Besuch.
Er hat mit Nachdruck darauf bestanden das ich noch am selben Tag
ins Armlabor konnte und ab jetzt jeden Tag
eine halbe Stunde im Armlabor trainieren konnte.
Auch einen Tag nachdem mein Vater abgereist war konnte ich
mich im Armlabor betätigen.
Allerdings kam am Nachmittag ein neuer Therapieplan heraus
bei dem die Trainingseinheit
Armlabor für den Rest der Woche
gestrichen worden ist.
Meine Mama hat meinen Vater angerufen der uns daraufhin nach
1,5 Wochen Rehaufenthalt und nach
Rücksprache mit dem Kostenträger zu sich nach Hause geholt hat.
Was sich sonst noch so alles in 1,5 Wochen Reha Aufenthalt zugetragen
hatte kann ich gar nicht in Worte packen.
Neben nicht erhaltene Armlabor Therapie und sehr schlechtes, vorgefertigtes
Essen…bäh……………..
Zuhause.
Da so ein Armlabor
mir die Möglichkeit geben kann , meine
linke Hand wieder im täglichen Leben zu benutzen hat mein Vater schon mal mit
dem Hersteller des Armlabores Kontakt aufgenommen.
Fazit: Ist sehr teuer... zu teuer für uns :-(
Ich kann gar nicht glauben das mein Schlaganfall schon 11 Jahre her ist.
Mal sehn was die Zukunft so bringt
:-)
|
|
28.01.2016 Aktuelles |
|
|
Mein Motto :
" Ich gebe niemals auf "
und ich möchte allen Betroffenen und deren Angehörigen Mut
aussprechen.
sagt "Ja zum Leben"
Erinnere dich an deine Träume , denn sie kommen aus deiner Tiefe ,
sind Träger von Ratschlägen , Botschafter oder eine Warnung . Lerne
deine Träume wieder zu erkennen , denn einige von ihnen kehren
häufig in einer anderen Form zurück und senden dir dieselbe
Botschaft . Höre auf deine Träume , denn auch sie lehren dich den
Weg des Lebens .
Tobias

[
zurück ]
|
|
|
| |
|
Entstehung und Ursachen |
|
An dem 20.09.2004 hatte
meine Frau Geburtstag und am Folgetag hatte ich mir
für sie einen halben Tag frei genommen, ich war also gegen Mittag zu
Hause und
habe daher mitbekommen, wie und in welchem Zustand Tobias aus der Schule
kam.
Tobias kam ins Haus, sagte kaum etwas und ging in sein Zimmer.
Wir haben schon gedacht, er hätte eine schlechte Arbeit wiederbekommen
oder so etwas.
Er kam nicht wieder aus seinem Zimmer auch nicht zum Essen. Meine Frau
hat dann nach ihm gesehen.
Er hat ihr gegenüber dann erklärt, er hätte sehr starke Kopfschmerzen.
Im Laufe des Nachmittags hat er immer wieder von Beschwerden berichtet,
weiterhin starke
Kopfschmerzen, dazu ein taubes Gefühl im linken Arm und "Funkenflug" vor
den Augen.
Von irgendwelchen Vorfällen in der Schule hat er nichts gesagt und wir
haben
erst mal angenommen, das sei alles wetterbedingt oder habe eine andere
natürliche Ursache.
Abends ist er ins Bett gegangen, eine angebotene Kopfschmerztablette
wollte er nicht.
Wir haben bei ihm keine sichtbaren Verletzungen festgestellt, wir haben
ihn
daraufhin aber auch nicht untersucht.
Am nächsten Tag klagte er weiter über dieselben Symptome wie am Vortag,
dazu kam noch Schwindel. Und immer wieder das taube Gefühl im linken
Arm. Meine Frau hat ihm daraufhin den Blutdruck gemessen, der war aber
in Ordnung. Am 23.09.2004 ist der Tobias wieder zur Schule und im
Sportunterricht ist er dann zusammengebrochen und hatte schon in der
Schule Lähmungserscheinungen. Tobias hat mir später erzählt, dass er
nicht bewusstlos geworden ist und mitbekommen hat, wie er plötzlich
nichts mehr bewegen und auch nicht mehr sprechen konnte. Er sagt er habe
immerzu gerufen aber keiner hat ihn verstanden.
|
|
........und der Lehrer schaut
weg...!!!!! :-(
|
Zeitungsartikel
|
 |
|
. |
|
Rückblick Ende
|
|
|
Mundübung wie geht das ? |
|
Zungenmotorikübungen
-
Zunge herausstrecken
-
Zunge zur Nase und zum Kinn strecken im Wechsel
-
mit der Zungenspitze Ober- und Unterlippe antippen, Mund dabei weit
öffnen
-
Zungenspitze in den rechten und linken Mundwinkel führen
-
Zungenspitze langsam kreisend über die Lippen führen
-
mit der Zungenspitze die Zähne putzen
-
ein Loch in die Wange bohren, rechts und links
-
schnalzen
-
mit der Zunge eine Schüssel bilden
-
mit der Zungenspitze am Gaumen langfahren

|
|
Mundübung Ende |
|
|
|
|
|
|
|
|
|
|
|
|
|
|
|
|
|
|
|
Suprapubischer Fistelkatheter
(SPF) |
|
|
|
Das ist ein Schlauch, der
zwischen Schambein und Nabel in die Harnblase eingelegt
wird, meistens nur als Zwischenlösung. Bei älteren Menschen
kann eine solche Harnableitung - wenn andere Lösungen nicht
in Frage kommen - ein gangbarer Kompromiss sein. |
| |
|

|
| |
Vorteile
|
Nachteile
|
Umgehung
der Harnröhre
Keine postinstrumentelle Urethritis,
Adnexitis, Epididymitis
Keine Harnröhrenstriktur
Deutliche Reduktion nosokomialer
Harnwegsinfektionen
Keine Problemkeime bei Verwendung
eines geschlossenen Systems
Spontanmiktion sowie Restharnbestimmung
möglich
Diagnostik:antegrades-/retrogrades
Urethrogramm
Geringerer Pflegeaufwand |
Kontraindikationen:
Blasentumor,
"Marcumarisierung", Schrumpfblase
Nicht an Assistenzpersonal deligierbar
Blasenfüllung, Punktion nötig
Komplikationsbehaftet: Makrohämaturie,
Fehlpunktion, Dislokation
Dauerspülung nicht möglich |
| |
|
| |
|
Blasen-Fistelkatheter Ende
|